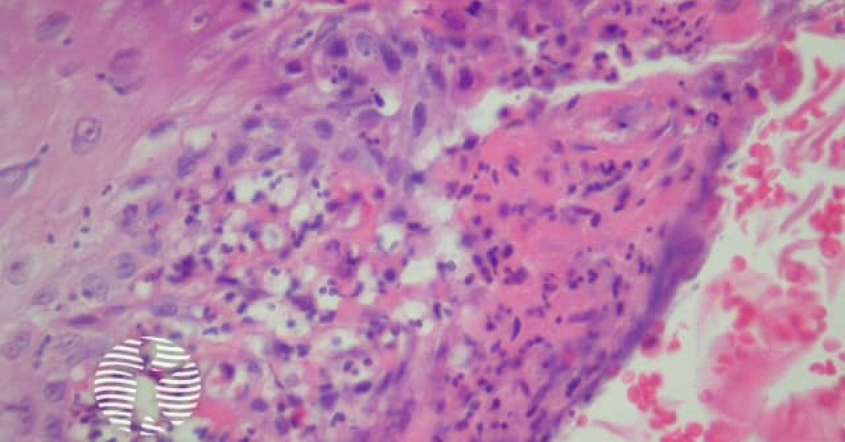
Blastomycosis-like pyoderma is a cutaneous condition characterized by large verrucous plaques with elevated borders and multiple pustules.: 255, 272
See also
- List of cutaneous conditions
- pyoderma
- blastomycosis
References
External links




Blastomycosis-like pyoderma is a cutaneous condition characterized by large verrucous plaques with elevated borders and multiple pustules.: 255, 272



